Evaluate the Accuracy of Segmentations using the Algorithm Scoring Tool

Compare Ground truth segmentations against Test segmentations using the Intersection Over Union (IOU), Overlap, and Bleed from the Algorithm Scoring Tool to evaluate the accuracy of your Test segmentations.

How the Algorithm Scoring Tool Works

Step

1

Select folders containing Ground truth scans and segmentations, and Test scans and segmentations

Step

2

"Score All" to create a metadata file, reportDetection.csv, placed in the Test folder

Step

3

Review the comparison of segmentation volumes, IOU, overlap, and bleed in reportDetection.csv

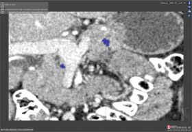
Scan 29: IOU of 6.7

Intersection Over Union (IOU)

IOU is the intersection of the area of the Ground truth and the test segmentation over the area of both the Ground truth and test segmentations. 

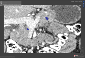
Scan 30: Bleed of 46,932

Bleed

Bleed is the area of the Test segmentation that covers area outside of the Ground truth segmentation.

Scan 19: Overlap of 90.2

Overlap

Overlap is the area of the Ground truth and Test segmentations that cover the same area.

Citation for data:

Abel, L.; Wasserthal, J.; Weikert, T.; Sauter, A.W.; Nesic, I.; Obradovic, M.; Yang, S.; Manneck, S.; Glessgen, C.; Ospel, J.M.; et al. Automated Detection of Pancreatic Cystic Lesions on CT Using Deep Learning. Diagnostics 2021, 11, 901. https://doi.org/10.3390/diagnostics11050901

STRATOVAN

Stratovan Corporation

1700 North Market Blvd, Suite 107

Sacramento, CA 95834 USA

support@stratovan.com


© 2023 Stratovan. All rights reserved.

Privacy | Refund Policy | Licensing FAQ