Why Checkpoint is the World leader

Nothing else offers as many capabilities, is as easy to use, works as fast, saves you as much time and works seamlessly with laser-scanned surfaces, micro-CT, CBCT, CT and MRI scans.

landmark_points
Collect Landmark Points

Place landmark points, curves, and patches, with automatic generation of semi-landmark points along curves and patches. Export landmarks to common file formats.

load_volume
Load Volume & Surface Data

Load DICOM scans (DCM files), PLY, STL, OBJ, and WRL surfaces. Extract multiple isosurfaces from volume (DICOM) scans (and export them).

view_3d
View and Interact in 3D

Interact with your scans through 3D multi-planar reconstruction and axial, coronal, and sagittal slicing. View through 3D volume rendering and slice-surface intersections.

convert
Convert

Convert volume data (DICOM .DCM, NifTI .NII, Analyze .HDR, .VTK) to NII format. Convert surfaces from one format (STL, PLY, OBJ) to another, and so much more...

What our customers say

I think that the main advantage of Checkpoint is that it's very easy. There are no bugs and it's a very reliable and easy tool that can quickly do whatever you want it to do with simple geometric morphometrics.

Nikolaos Kargopoulos, PhD

The other programs that I've tried can be a bit clunky. The ease with which I can manipulate a cranium with really big data sets is probably the best thing about Checkpoint.

Alannah Pearson, Phd Candidate

The main advantage of Checkpoint is the stability. This software has never crashed on me!

Cristian Hernandez, PhD candidate

Checkpoint videos

checkpoint_how_to_apply_templates
How to Apply Templates

How to apply templates you have created to the rest of your sample.

checkpoint_how_to_create_templates
How to Create Templates

How to create templates using Checkpoint so they can be applied to subsequent scans.

checkpoint_placing_landmark_curves
Placing Landmark Curves

This video describes the process of collecting semi-landmark curve on 3-dimensional molars.

person focusing
Encircle
Encircle

Encircle is a cross-platform imaging toolkit that affords a natural user interface for 3D image visualization, 3D reconstruction, arbitrary slicing, and much more.

people in airport
DICOS
DICOS

The TSA DICOS Toolkit/SDK is Used By 80+ Airport Security Vendors.  You can trust Stratovan to deliver premium support, file conversion, compliance evaluation, integration guidance, and more.

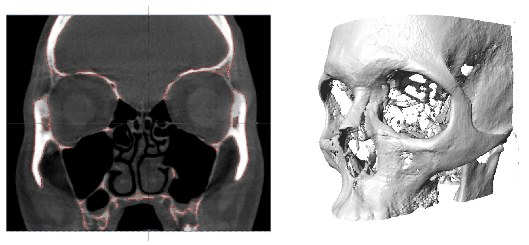
product_carousel-maxillo_2
Maxillo
Maxillo

Maxillo is an orbital volume computation application for use by otolaryngologists, ENTs, plastic surgeons, craniofacial surgeons, and maxillofacial researchers. It enables the use of computed tomography (CT) scans of the orbital area to be analyzed as part of diagnostics, pre-surgical planning and post-surgical analysis method.