|

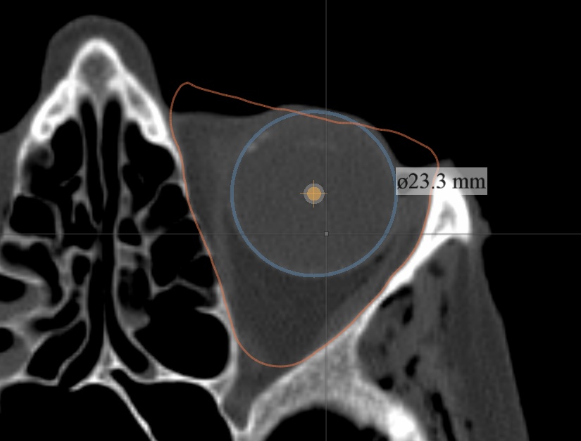
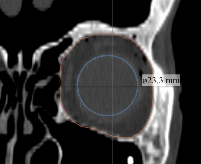
Stratovan Maxillo™ computes orbit (eye socket) volumes and bony contour shapes directly from x-ray computed tomography (CT) image data. Maxillo is intended for research use only by otolaryngologists, ENTs, plastic, and maxillofacial researchers investigating orbit morphology, shape, volume, and globe position. Maxillo utilizes a patent-pending image segmentation method.
|